Przejdź do treści
O Instytucie
  • Polish
  • English
  • Français
  • Español
  • Russian
  • Portuguese

Ścieżka nawigacyjna

  1. Strona główna
  2. Mikrobiota – immunitet dyplomatyczny?
  3. Co trzeba z tego wynieść? Odporność jelit
  • Nasze publikacje
    • Aktualności
    • Magazyn dla pracowników służby zdrowia
    • Strony tematyczne
    • Foldery tematyczne
  • O instytucie
    • O Instytucie
    • Międzynarodowe Obserwatorium Mikrobioty
    • Pokój prasowy
    • Partnerstwa
  • Kongresy
    • Kalendarz
    • Przegląd kongresu
  • Akredytacji Doskonalenia Zawodowego
    • Punktowane kursy
  • Przydatne dokumenty
    • Infografiki
    • Broszury diagnostyczne
    • Opinie pacjentów
    • Punkt widzenia ekspertów

    Śledź społeczność mikrobioty

    • Facebook
    • Twitter
    • LinkedIn
    • YouTube
    • Instagram
    • Bluesky

Sekcja dla ogółu społeczeństwa

Znajdź tutaj swoją dedykowaną przestrzeń
Gastroenterologia
Ginekologia
Pediatria
Medycyna ogólna

Ścieżka nawigacyjna

  1. Strona główna
  2. Mikrobiota – immunitet dyplomatyczny?
  3. Co trzeba z tego wynieść? Odporność jelit
Gastroenterologia

Co trzeba z tego wynieść? Odporność jelit

Odporność
Gastroenterologia
Ginekologia
Pediatria
Medycyna ogólna
  • Nasze publikacje
    • Aktualności
    • Magazyn dla pracowników służby zdrowia
    • Strony tematyczne
    • Foldery tematyczne
  • O instytucie
    • O Instytucie
    • Międzynarodowe Obserwatorium Mikrobioty
    • Pokój prasowy
    • Partnerstwa
  • Kongresy
    • Kalendarz
    • Przegląd kongresu
  • Akredytacji Doskonalenia Zawodowego
    • Punktowane kursy
  • Przydatne dokumenty
    • Infografiki
    • Broszury diagnostyczne
    • Opinie pacjentów
    • Punkt widzenia ekspertów

    Śledź społeczność mikrobioty

    • Facebook
    • Twitter
    • LinkedIn
    • YouTube
    • Instagram
    • Bluesky

Sekcja dla ogółu społeczeństwa

Znajdź tutaj swoją dedykowaną przestrzeń

en_sources_title

en_sources_text_start en_sources_text_end

Udostępnij ten artykuł

Twoi koledzy mogą się zainteresować tym tematem, więc może im go podeślesz?

  • Facebook
  • Twitter
  • LinkedIn
  • Mail

Sekcje

O tym artykule

Opublikowano 07 Grudzień 2021
Zaktualizowano 07 Grudzień 2021

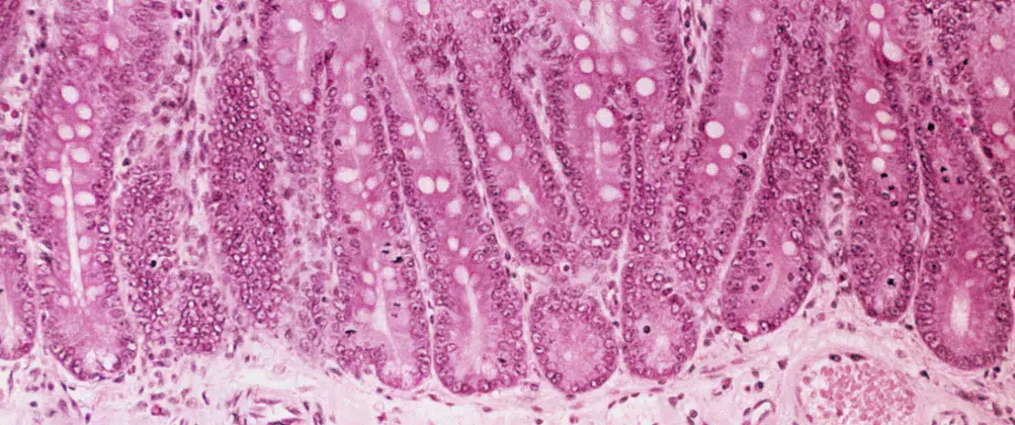
Mikrobiota gra krytyczną rolę w rozwoju i dojrzewaniu składników układu odpornościowego wrodzonego i adaptacyjnego gospodarza, natomiast układ odpornościowy koordynuje utrzymywanie kluczowych funkcji symbiozy gospodarza i jego mikroorganizmów. Utrzymywanie homeostazy między mikrobiotą jelit a układem odpornościowym ma zasadnicze znaczenie. Czynniki zakłócające tworzenie mikrobioty jelitowej noworodka (takie jak antybiotyki) mogą mieć niekorzystne dla zdrowia skutki.1

80% Co najmniej 80% komórek organizmu wytwarzających Ig mieści się w jelicie. (2)

ŚLUZ

Warstwa śluzu w jelitach jest podstawowym łącznikiem między gospodarzem a mikrobiotą jelit. Jej naruszenie prowadzi do nasilenia penetracji lub przenikania potencjalnie szkodliwych bakterii, które mogą powodować stan zapalny i infekcję.3

Źródła

1 Robertson RC, Manges AR, Finlay BB, et al. The Human Microbiome and Child Growth - First 1000 Days and Beyond. Trends Microbiol. 2019 Feb;27(2):131-147. 

2 Brandtzaeg P. (2017) Role of the Intestinal Immune System in Health. In: Baumgart D. (eds) Crohn's Disease and Ulcerative Colitis. Springer, Cham. 

3 Johansson ME, Gustafsson JK, Holmén-Larsson J, et al. Bacteria penetrate the normally impenetrable inner colon mucus layer in both murine colitis models and patients with ulcerative colitis. Gut. 2014 Feb;63(2):281-91.

Tagi
Odporność Mikrobiota jelit Dysbioza Antybiotyki Śluz Mikrobiom Flora
    Publikacje
    Mikrobiota – immunitet dyplomatyczny?
    • Wstęp
      • Poznanie złożonych powiązań miedzy mikrobiota a odpornoscia to dopiero poczatek
    • Odporność jelit
      • Jelito noworodka: fundament odpornosci
      • Czynniki wpływające na rozwój mikrobioty i dojrzewanie układu odpornosciowego na wczesnym etapie życia
      • Wpływ diety zachodniej na powłokę śluzową
      • Łagodzenie stanów zapalnych zoladka i jelit dieta
    • Mikrobiota jelit wplywa na odporność układu oddechowego
      • Mikrobiota jelit ma udział w obronie płuc przed wirusowymi infekcjami dróg oddechowych
      • Oś jelito-płuca w wirusowych infekcjach dróg oddechowych
      • Hipoteza higieniczna a pandemia COVID-19
      • Czy należy celować w mikrobiotę jelit żeby zoptymalizować skuteczność szczepionek?
    • Rola mikrobioty w odporności skóry i atopowym zapaleniu skóry
      • Wywiad z ekspertem: Prof. Brigitte Dréno
    • Wniosek
      • Co trzeba z tego wynieść? Odporność jelit
      • Co trzeba z tego wynieść? Odporność dróg oddechowych
      • Co trzeba z tego wynieść? Odporność skóry
    Opublikowano 07 Grudzień 2021
    Zaktualizowano 07 Grudzień 2021

    O tym artykule

    Dowiedz się więcej o kluczowych tematach tego tekstu:

    Główny temat

    Odporność

    Rodzaj treści

    Szczegóły dotyczące dokumentacji
    Wywiad z ekspertem: Prof. Brigitte Dréno
    Co trzeba z tego wynieść? Odporność dróg oddechowych
    Publikacje

    Mikrobiota – immunitet dyplomatyczny?

    Wstęp

    Poznanie złożonych powiązań miedzy mikrobiota a odpornoscia to dopiero poczatek

    Odporność jelit

    Jelito noworodka: fundament odpornosci Czynniki wpływające na rozwój mikrobioty i dojrzewanie układu odpornosciowego na wczesnym etapie życia Wpływ diety zachodniej na powłokę śluzową Łagodzenie stanów zapalnych zoladka i jelit dieta

    Mikrobiota jelit wplywa na odporność układu oddechowego

    Mikrobiota jelit ma udział w obronie płuc przed wirusowymi infekcjami dróg oddechowych Oś jelito-płuca w wirusowych infekcjach dróg oddechowych Hipoteza higieniczna a pandemia COVID-19 Czy należy celować w mikrobiotę jelit żeby zoptymalizować skuteczność szczepionek?

    Rola mikrobioty w odporności skóry i atopowym zapaleniu skóry

    Wywiad z ekspertem: Prof. Brigitte Dréno

    Wniosek

    Co trzeba z tego wynieść? Odporność jelit Co trzeba z tego wynieść? Odporność dróg oddechowych Co trzeba z tego wynieść? Odporność skóry

    Kontynuuj czytanie

    Aktualności
    07/05/2026

    Bifidobakterie: czy mogą pomóc we wczesnej profilaktyce alergii?

    Przeczytaj artykuł
    Photo: Endométriose : la piste de l’immunité ouvre de  nouvelles voies de traitement
    29/04/2026

    Endometrioza: podejście ukierunkowane na układ odporności otwiera nowe drogi leczenia

    Przeczytaj artykuł

    Infografiki dla Twoich pacjentów

    Pobierz oryginalne i angażujące materiały graficzne, aby wyjaśnić swoim pacjentom zasadniczą rolę mikrobiot...

    Dowiedz się więcej
    04/03/2026

    Metabolity bakteryjne a skuteczność immunoterapii

    Przeczytaj artykuł
    Actu PRO : Cancer du poumon : l'influence majeure du microbiote pulmonaire
    13/02/2026

    Rak płuca: ogromny wpływ mikrobioty płucnej

    Przeczytaj artykuł
    09/12/2025

    Jeden drobnoustrój jelitowy, który może zmienić sposób działania terapii przeciwnowotworowej

    Przeczytaj artykuł

    Xpeer: Wykrywanie, zapobieganie i leczenie dysbiozy mikrobiomu jelitowego

    Dowiedz się, jak wykrywać, zapobiegać i leczyć dysbiozę m...

    Dowiedz się więcej

    Xpeer: Interakcje leków z mikrobiotą jelit: jakie są ich skutki dla zdrowia?

    Uzyskaj bezpłatne szkolenie na temat interakcji między le...

    Dowiedz się więcej
    • Nasze publikacje
      • Aktualności
      • Magazyn dla pracowników służby zdrowia
      • Strony tematyczne
      • Foldery tematyczne
    • O instytucie
      • O Instytucie
      • Międzynarodowe Obserwatorium Mikrobioty
      • Pokój prasowy
      • Partnerstwa
    • Kongresy
      • Kalendarz
      • Przegląd kongresu
    • Akredytacji Doskonalenia Zawodowego
      • Punktowane kursy
    • Przydatne dokumenty
      • Infografiki
      • Broszury diagnostyczne
      • Opinie pacjentów
      • Punkt widzenia ekspertów

      Śledź społeczność mikrobioty

      • Facebook
      • Twitter
      • LinkedIn
      • YouTube
      • Instagram
      • Bluesky

    Sekcja dla ogółu społeczeństwa

    Znajdź tutaj swoją dedykowaną przestrzeń
    Gastroenterologia
    Ginekologia
    Pediatria
    Medycyna ogólna
    • Polish
    • English
    • Français
    • Español
    • Russian
    • Portuguese

    Przeglądaj stronę

    • Nasze publikacje
      • Aktualności
      • Magazyn dla pracowników służby zdrowia
      • Strony tematyczne
      • Foldery tematyczne
    • O instytucie
      • O Instytucie
      • Międzynarodowe Obserwatorium Mikrobioty
      • Pokój prasowy
      • Partnerstwa
    • Kongresy
      • Kalendarz
      • Przegląd kongresu
    • Akredytacji Doskonalenia Zawodowego
      • Punktowane kursy
    • Przydatne dokumenty
      • Infografiki
      • Broszury diagnostyczne
      • Opinie pacjentów
      • Punkt widzenia ekspertów

      Śledź społeczność mikrobioty

      • Facebook
      • Twitter
      • LinkedIn
      • YouTube
      • Instagram
      • Bluesky

    Sekcja dla ogółu społeczeństwa

    Znajdź tutaj swoją dedykowaną przestrzeń

    Odkryć

    Gastroenterologia
    Ginekologia
    Pediatria
    Medycyna ogólna

    Śledź społeczność mikrobioty

    • Facebook
    • Twitter
    • LinkedIn
    • YouTube
    • Instagram
    • Bluesky

    Sekcja dla ogółu społeczeństwa

    Znajdź tutaj swoją dedykowaną przestrzeń

    Przekierowanie

    Zamierzasz przekierować i opuszczać naszą stronę internetową

    • Zostać przekierowany
    • Pobyt na stronie internetowej Instytutu Microbiota BioCodex

    Nie odchodź tak szybko!

    Dołącz do społeczności mikrobioty dla pracowników ochrony zdrowia i odbieraj „Microbiota Digest” i „Magazyn dla pracowników służby zdrowia”, aby być na bieżąco z najnowszymi informacjami o mikrobiocie.

    * Pole obowiązkowe

    BMI 20-35

    Więcej informacji

    Photo: Immunotherapies: a Phase II study confirms the benefit of combined FMT
    13/05/2026

    Immunoterapie: badanie fazy II potwierdza korzyści płynące ze stosowania przeszczepu mikrobioty jelitowej w połączeniu z

    Przeczytaj artykuł
    07/05/2026

    Bifidobakterie: czy mogą pomóc we wczesnej profilaktyce alergii?

    Przeczytaj artykuł
    Photo: Endométriose : la piste de l’immunité ouvre de  nouvelles voies de traitement
    29/04/2026

    Endometrioza: podejście ukierunkowane na układ odporności otwiera nowe drogi leczenia

    Przeczytaj artykuł

    Bądź na bieżąco

    Dołącz do społeczności mikrobioty dla pracowników ochrony zdrowia i odbieraj „Microbiota Digest” i „Magazyn dla pracowników służby zdrowia”, aby być na bieżąco z najnowszymi informacjami o mikrobiocie.

    * Pole obowiązkowe

    BMI 20-35

    • Nasze publikacje
      • Aktualności
      • Magazyn dla pracowników służby zdrowia
      • Strony tematyczne
      • Foldery tematyczne
    • O instytucie
      • O Instytucie
      • Międzynarodowe Obserwatorium Mikrobioty
      • Pokój prasowy
      • Partnerstwa
    • Kongresy
      • Kalendarz
      • Przegląd kongresu
    • Akredytacji Doskonalenia Zawodowego
      • Punktowane kursy
    • Przydatne dokumenty
      • Infografiki
      • Broszury diagnostyczne
      • Opinie pacjentów
      • Punkt widzenia ekspertów

      Śledź społeczność mikrobioty

      • Facebook
      • Twitter
      • LinkedIn
      • YouTube
      • Instagram
      • Bluesky

    Sekcja dla ogółu społeczeństwa

    Znajdź tutaj swoją dedykowaną przestrzeń

    Odkryć

    Gastroenterologia
    Ginekologia
    Pediatria
    Medycyna ogólna

    Sekcja dla ogółu społeczeństwa

    Znajdź tutaj swoją dedykowaną przestrzeń

    Śledź społeczność mikrobioty

    • Facebook
    • Twitter
    • LinkedIn
    • YouTube
    • Instagram
    • Bluesky

    © 2026 Biokodeks. Wszelkie prawa zastrzeżone

    • Informacje prawne
    • Ogólne warunki korzystania
    • Zasady ochrony danych
    • Nawigacja
    • Ustawienia cookies
    • Dostępność cyfrowa : częściowo zgodna
    Biocodex logo