Aller au contenu principal
A propos de l’Institut
  • Français
  • English
  • Español
  • Russian
  • Polish
  • Turkish

Fil d'Ariane

  1. Accueil
  2. Maladies inflammatoires chroniques intestinales (MICI)
  3. Rôle de l’épithélium intestinal et de la réponse immunitaire innée
  • Nos publications
    • Actualités
    • HCP Magazine
    • Pages thématiques
    • Point de vue des experts
    • Dossiers thématiques
    • Synthèses – Microbiota Magazine
  • À propos de l'Institut
    • A propos de l’Institut
    • Observatoire International des Microbiotes
    • Salle de presse
    • Partenariats
  • Congrès
    • Agenda
    • Comptes rendus d’événements
  • Formation Médicale Continue
    • Cours accréditant
  • Documents utiles
    • Les bons mots
    • Infographies
    • Outils de diagnostic
    • Témoignages patients

    Rejoignez la communauté du microbiote

    • Facebook
    • Twitter
    • LinkedIn
    • YouTube
    • Instagram
    • Bluesky

Section grand public

Retrouvez ici votre espace dédié
Gastro-entérologie
Gynécologie
Pédiatrie
Médecine Générale

Fil d'Ariane

  1. Accueil
  2. Maladies inflammatoires chroniques intestinales (MICI)
  3. Rôle de l’épithélium intestinal et de la réponse immunitaire innée
Gastro-entérologie

Rôle de l’épithélium intestinal et de la réponse immunitaire innée

MICI
Gastroentérologie

La dysbiose observée dans les MICI pourrait être liée à une altération de l’épithélium intestinal, devenu incapable de jouer son rôle de barrière, ainsi qu’à un dérèglement de la réponse immunitaire innée locale favorisant l’inflammation. Explications et zoom sur les peptides antimicrobiens suspectés d’y contribuer.

Gastro-entérologie
Gynécologie
Pédiatrie
Médecine Générale
  • Nos publications
    • Actualités
    • HCP Magazine
    • Pages thématiques
    • Point de vue des experts
    • Dossiers thématiques
    • Synthèses – Microbiota Magazine
  • À propos de l'Institut
    • A propos de l’Institut
    • Observatoire International des Microbiotes
    • Salle de presse
    • Partenariats
  • Congrès
    • Agenda
    • Comptes rendus d’événements
  • Formation Médicale Continue
    • Cours accréditant
  • Documents utiles
    • Les bons mots
    • Infographies
    • Outils de diagnostic
    • Témoignages patients

    Rejoignez la communauté du microbiote

    • Facebook
    • Twitter
    • LinkedIn
    • YouTube
    • Instagram
    • Bluesky

Section grand public

Retrouvez ici votre espace dédié

en_sources_title

en_sources_text_start en_sources_text_end

Partager cet article

Ce sujet pourrait intéresser vos collègues, pourquoi ne pas le partager ?

  • Facebook
  • Twitter
  • LinkedIn
  • Mail

Chapitres

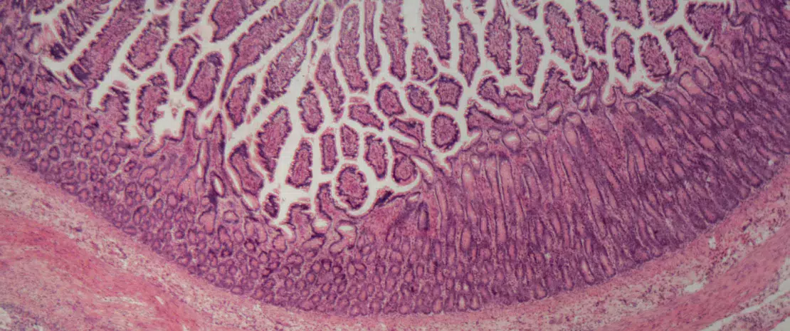
Rôle de l’épithélium intestinal image

Intestinal epithelium

A propos de cet article

Publié le 17 septembre 2019
Mis à jour le 15 juillet 2024

L’altération de la barrière intestinale observée chez les patients souffrant de MICI pourrait expliquer la physiopathologie de la dysbiose : non seulement cette frontière mécanique serait altérée, mais aussi sa première ligne de défense immunitaire. Outre son rôle dans l’absorption d’ions, d’eau et d’autres nutriments, la barrière intestinale sert de rempart et empêche l’entrée de bactéries dans la lumière intestinale.

Or sa perméabilité augmente lors des phases aiguës de maladie de Crohn (MC), ce qui favorise la translocation de bactéries à travers la muqueuse et l’inflammation locale5.

Le rôle de la barrière intestinale

Possiblement en cause : l’altération des jonctions serrées des cadhérines de l’épithélium intestinal (des glycoprotéines jouant un rôle-clé dans l’adhérence intercellulaire) ; l’implication de certains facteurs de transcription11 liés à la régénération épithéliale. Les autres mécanismes évoqués concernent le mucus intestinal, dont l’épaisseur maintient les bactéries pathogènes à distance et qui s’avère considérablement amoindrie chez les patients MICI. Le phénomène s’expliquerait par l’altération des cellules caliciformes, productrices de mucus, dont la perturbation induit le développement de colites sur des modèles murins ; il s’expliquerait également chez les malades MC par le dysfonctionnement des cellules de Paneth, situées au fond des cryptes de l’intestin grêle, réputées participer à l’homéostasie et au rôle de défense de la muqueuse intestinale via la sécrétion d’antimicrobiens5,11.

Première ligne de défense du système immunitaire

La littérature évoque par ailleurs plu- sieurs mécanismes mettant en jeu l’immunité innée, et plus précisément les cellules dendritiques, les macro- phages, les cellules lymphoïdes in- nées et les neutrophiles. Ces cellules, qui complètent le dispositif évoqué plus haut, agissent en tant que pre- mière ligne de défense du système immunitaire. Dans l’intestin des su- jets sains, les macrophages sont en état d’hyporéactivité (prolifération et activité réduites) et peuvent produire des cytokines anti-inflammatoires11. Chez le patient MICI en revanche, le déséquilibre des populations de cellules dédiées à l’immunité innée serait associé à plusieurs phénomènes11 : le franchissement de la muqueuse, devenue perméable, par des bactéries du fait d’une atténuation de l’activité des macrophages et d’un défaut de recrutement des neutrophiles ; une inflammation induite par la production de grandes quantités de cytokines pro-inflammatoires (TNF-α et IL-6) par des macrophages spécifiques ; et enfin le recrutement de lymphocytes T inflammatoires via une accumulation de cellules dendritiques, qui induisent la réponse immunitaire adaptative.

Image
Image
Sources

11 Ramos GP, Papadakis KA. Mechanisms of Disease: Inflammatory Bowel Diseases. Mayo Clin Proc. 2019;94(1):155-165.

Tags
Dysbiose Santé intestinale Réponse immunitaire Microbiome Flore
    Dossier
    Maladies inflammatoires chroniques intestinales (MICI)
    • Les dysbioses dans les MICI
      • Quand une dysbiose bactérienne signe les MICI
      • A chaque MICI son virome
      • Une dysbiose fongique liée à l’environnement ?
    • Physiopathologie liée à la dysbiose
      • Rôle de l’épithélium intestinal et de la réponse immunitaire innée
      • Zoom sur le rôle des peptides antimicrobiens
    • Quelle place pour la modulation du microbiote ?
      • Transplantation de microbiote fécal : des résultats hétérogènes
      • Utilisation des probiotiques
    • Parole d'Expert
      • Pr. Philippe SEKSIK: Vers une prise en charge inédite des mici
    Publié le 17 septembre 2019
    Mis à jour le 15 juillet 2024

    A propos de cet article

    Ce contenu fait référence à plusieurs sujets clés. Découvrez-les ci-dessous :

    Sujet principal

    MICI

    Spécialité médicale

    Gastroentérologie

    Type de contenu

    Détail du dossier
    Une dysbiose fongique liée à l’environnement ?
    Zoom sur le rôle des peptides antimicrobiens
    Dossier

    Maladies inflammatoires chroniques intestinales (MICI)

    Les dysbioses dans les MICI

    Quand une dysbiose bactérienne signe les MICI A chaque MICI son virome Une dysbiose fongique liée à l’environnement ?

    Physiopathologie liée à la dysbiose

    Rôle de l’épithélium intestinal et de la réponse immunitaire innée Zoom sur le rôle des peptides antimicrobiens

    Quelle place pour la modulation du microbiote ?

    Transplantation de microbiote fécal : des résultats hétérogènes Utilisation des probiotiques

    Parole d'Expert

    Pr. Philippe SEKSIK: Vers une prise en charge inédite des mici
    Gastro-entérologie

    Fresque sur la résistance aux antimicrobiens : apprendre, jouer et agir dès maintenant

    La Fresque sur la résistance aux antimicrobiens est une e...

    En savoir plus
    Photo HCPs: AMR page for the 2025 WAAW campaign
    14/10/2025

    Tout ce que vous devez savoir sur les antibiotiques et la résistance aux antimicrobiens

    Lire l'article
    09/12/2025

    Ce micro-organisme intestinal pourrait améliorer l'efficacité des traitements anticancéreux

    Lire l'article
    01/12/2025

    Régime anti-inflammatoire et troubles cognitifs : la piste du microbiote oral et intestinal

    Lire l'article
    29/01/2025

    Comment reconstituer mon microbiote intestinal après une prise d’antibiotiques ?

    Lire l'article

    Résilience du microbiote intestinal d'adultes en bonne santé suite à l'exposition à un antibiotique

    Article commenté - Rubrique adulte Par le Pr. Harry Soko...

    En savoir plus
    07/09/2023

    Des gènes de résistance aux antibiotiques retrouvés en masse dans les nuages

    Lire l'article
    09/02/2022

    Des gènes d’antibiorésistance « montent à bord » du microbiote intestinal pendant les voyages internationaux

    Lire l'article
    • Nos publications
      • Actualités
      • HCP Magazine
      • Pages thématiques
      • Point de vue des experts
      • Dossiers thématiques
      • Synthèses – Microbiota Magazine
    • À propos de l'Institut
      • A propos de l’Institut
      • Observatoire International des Microbiotes
      • Salle de presse
      • Partenariats
    • Congrès
      • Agenda
      • Comptes rendus d’événements
    • Formation Médicale Continue
      • Cours accréditant
    • Documents utiles
      • Les bons mots
      • Infographies
      • Outils de diagnostic
      • Témoignages patients

      Rejoignez la communauté du microbiote

      • Facebook
      • Twitter
      • LinkedIn
      • YouTube
      • Instagram
      • Bluesky

    Section grand public

    Retrouvez ici votre espace dédié
    Gastro-entérologie
    Gynécologie
    Pédiatrie
    Médecine Générale
    • Français
    • English
    • Español
    • Russian
    • Polish
    • Turkish

    Naviguer dans le site

    • Nos publications
      • Actualités
      • HCP Magazine
      • Pages thématiques
      • Point de vue des experts
      • Dossiers thématiques
      • Synthèses – Microbiota Magazine
    • À propos de l'Institut
      • A propos de l’Institut
      • Observatoire International des Microbiotes
      • Salle de presse
      • Partenariats
    • Congrès
      • Agenda
      • Comptes rendus d’événements
    • Formation Médicale Continue
      • Cours accréditant
    • Documents utiles
      • Les bons mots
      • Infographies
      • Outils de diagnostic
      • Témoignages patients

      Rejoignez la communauté du microbiote

      • Facebook
      • Twitter
      • LinkedIn
      • YouTube
      • Instagram
      • Bluesky

    Section grand public

    Retrouvez ici votre espace dédié

    Découvrir

    Gastro-entérologie
    Gynécologie
    Pédiatrie
    Médecine Générale

    Rejoignez la communauté du microbiote

    • Facebook
    • Twitter
    • LinkedIn
    • YouTube
    • Instagram
    • Bluesky

    Section grand public

    Retrouvez ici votre espace dédié

    Redirection

    Vous êtes sur le point d'être redirigé et de quitter notre site web

    • Être redirigé
    • Rester sur le site Web du Biocodex Microbiota Institute

    Ne partez pas si vite !

    Rejoignez la communauté Microbiota des professionnels de santé et des chercheurs et recevez le "Microbiota Digest" et le "HCP Magazine" pour rester au courant des dernières actualités sur le microbiote.

    * Champs obligatoires

    BMI 20-35

    Découvrir

    Photo: Le microbiote vaginal, réservoir de gènes de  résistance aux antibiotiques
    23/12/2025

    Le microbiote vaginal, réservoir de gènes de résistance aux antibiotiques

    Lire l'article
    09/12/2025

    Ce micro-organisme intestinal pourrait améliorer l'efficacité des traitements anticancéreux

    Lire l'article
    05/12/2025

    Faut-il recommander le yaourt à la noix de coco aux probiotiques vivants ?

    Lire l'article

    Se tenir informé

    Rejoignez la communauté Microbiota des professionnels de santé et des chercheurs et recevez le "Microbiota Digest" et le "HCP Magazine" pour rester au courant des dernières actualités sur le microbiote.

    * Champs obligatoires

    BMI 20-35

    • Nos publications
      • Actualités
      • HCP Magazine
      • Pages thématiques
      • Point de vue des experts
      • Dossiers thématiques
      • Synthèses – Microbiota Magazine
    • À propos de l'Institut
      • A propos de l’Institut
      • Observatoire International des Microbiotes
      • Salle de presse
      • Partenariats
    • Congrès
      • Agenda
      • Comptes rendus d’événements
    • Formation Médicale Continue
      • Cours accréditant
    • Documents utiles
      • Les bons mots
      • Infographies
      • Outils de diagnostic
      • Témoignages patients

      Rejoignez la communauté du microbiote

      • Facebook
      • Twitter
      • LinkedIn
      • YouTube
      • Instagram
      • Bluesky

    Section grand public

    Retrouvez ici votre espace dédié

    Découvrir

    Gastro-entérologie
    Gynécologie
    Pédiatrie
    Médecine Générale

    Section grand public

    Retrouvez ici votre espace dédié

    Rejoignez la communauté du microbiote

    • Facebook
    • Twitter
    • LinkedIn
    • YouTube
    • Instagram
    • Bluesky

    © 2026 Biocodex. Tous droits réservés.

    • Mentions légales
    • CGU
    • Protection des données
    • Plan de site
    • Gestion des cookies
    • Accessibilité numérique : partiellement conforme
    Biocodex logo